치료전후

한 시간안에 제작하는 심미인레이

  • 치료 전
  • 치료 후

치료과정(보철디자인)

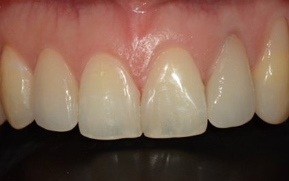
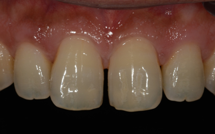
ONE VISIT 전치 심미크라운

  • 치료 전
  • 치료 후

심미 크라운

  • 치료 전
  • 치료 후

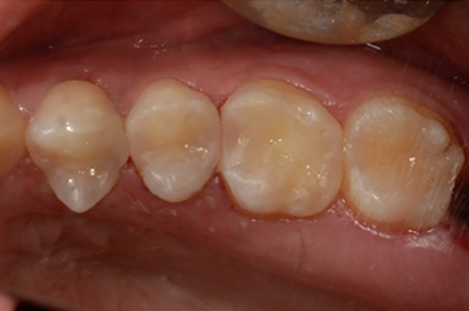
강도와 심미를 동시에 지르코니아 크라운

  • 치료 전
  • 치료 후

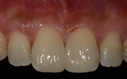
ONE-VISIT 전치부 심미 레진 충전

  • 치료 전
  • 치료 후
위로 스크롤